Ortodoncia Invisible

Mejora tu mordida y estética

NUESTROS SERVICIOS DE ORTODONCIA INCLUYEN:

Nuestro equipo cuenta con amplia experiencia y certificaciones en métodos de ortodoncia innovadores. Estamos comprometidos a proporcionar resultados efectivos y duraderos que no solo transforman tu sonrisa, sino también tu calidad de vida.

ALINEA TUS DIENTES DE FORMA SENCILLA E INDOLORA

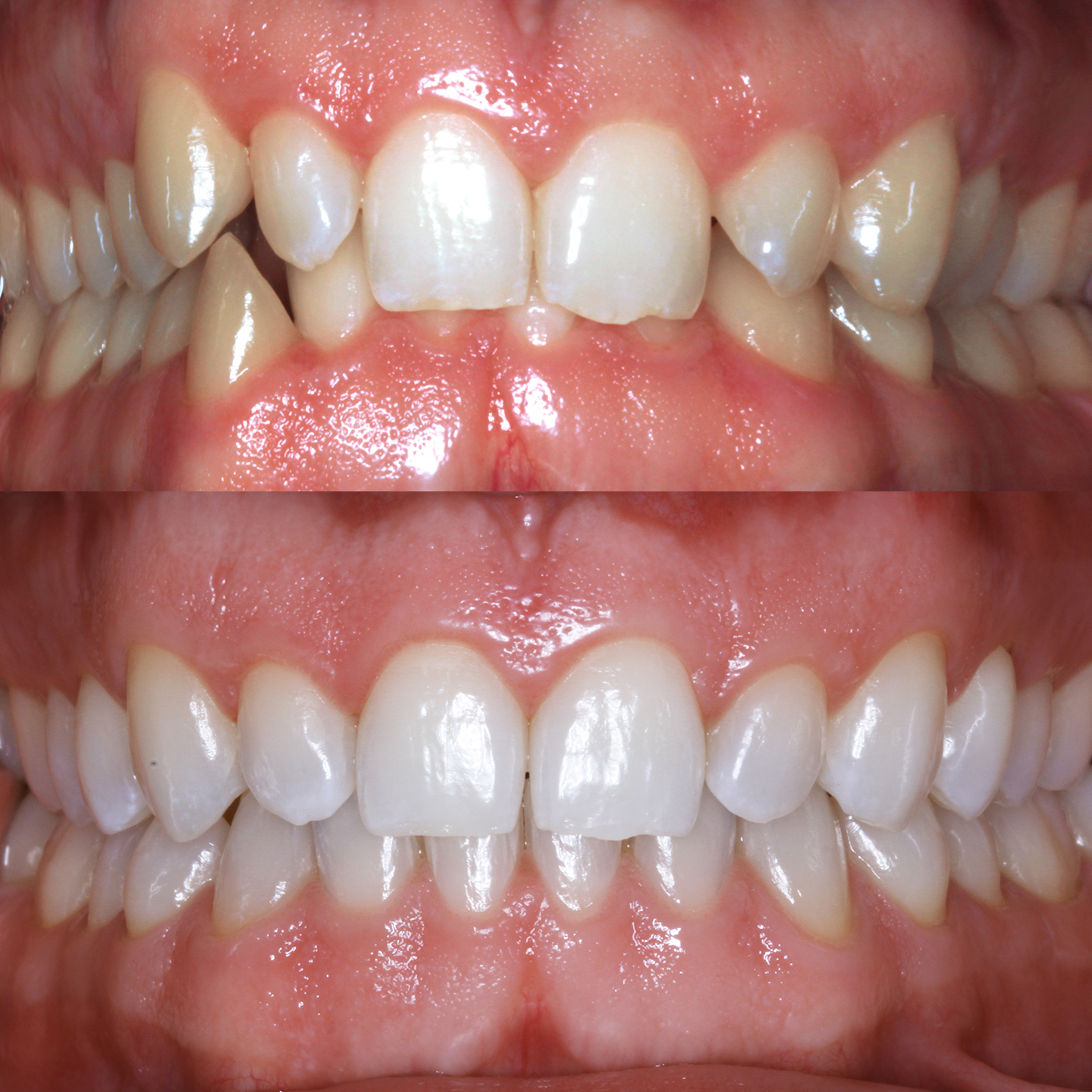
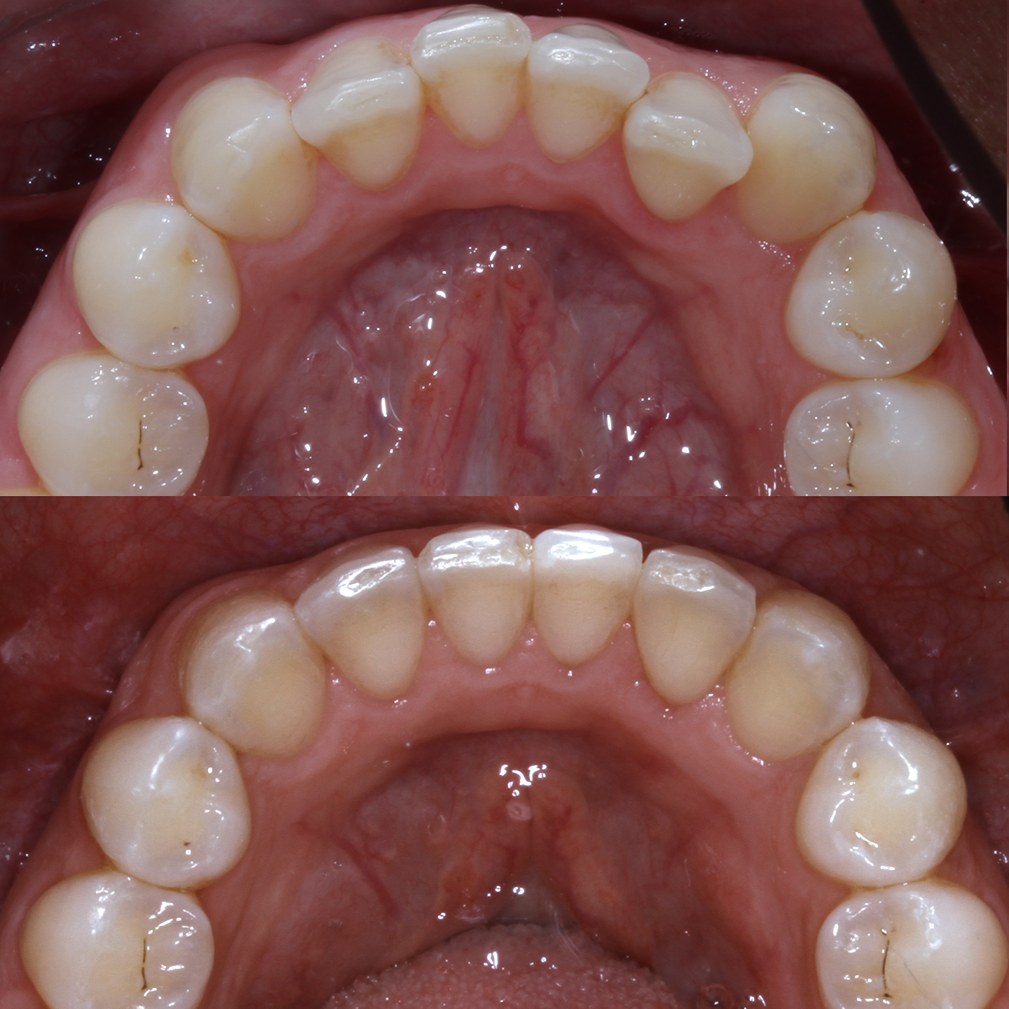
La ortodoncia invisible es el tratamiento por excelencia que aplicamos, salvo que no sea posible. Las ventajas que nos brinda son sencillas: rapidez, estética, comodidad, indolora, fácil de colocar y quitar; más higiénico, predecible, menos citas en clínica y mejor comodidad para comer. Debido a todas estas razones, este tipo de tratamiento merece la pena.

El tratamiento consiste en los siguientes pasos:
Realización de fotos y escaneado intraoral para realizar el estudio.
Sesión de acondicionamiento y entrega de alineadores.
Durante el tratamiento se irán pautando citas de control y seguimiento.
La finalización del tratamiento y la colocación de los retenedores para mantener la sonrisa que hemos conseguido.
ortodoncia invisible en Madrid

Casos

https://sonriemadrid.es/wp-content/uploads/2025/07/antesydespuesorto.png
https://sonriemadrid.es/wp-content/uploads/2025/07/orto2.png

RESULTADOS 100% GARANTIZADOSFinanciación a medida para tu nueva sonrisa

RESULTADOS 100% GARANTIZADOSFinanciación a medida
para tu nueva sonrisa

https://sonriemadrid.es/wp-content/uploads/2025/07/riepngwhite.png

HORARIO DE
ATENCIÓN

Calle Hernani #17 - Madrid
LUNES
15:30 - 19:30
MARTES
10:30 - 19:30
MIÉRCOLES
10:30 - 19:30
JUEVES
10:30 - 19:30
VIERNES
10:30 - 19:30
SÁBADO
10:00 - 14:00
https://sonriemadrid.es/wp-content/uploads/2026/01/clinicadentalsonriemadrid-madrid-640x640.png

SONRIE MADRIDTARJETA DE
REGALO

SONRIE MADRIDTARJETA DE
REGALO

Si quieres regalar una mejor sonrisa,
solicita nuestra tarjeta regalo.

Agenda tu primera visita

y obtén una limpieza totalmente GRATIS
https://sonriemadrid.es/wp-content/uploads/2025/08/VALORACION-GRATUITA.jpg